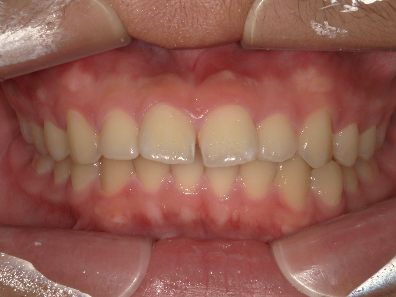
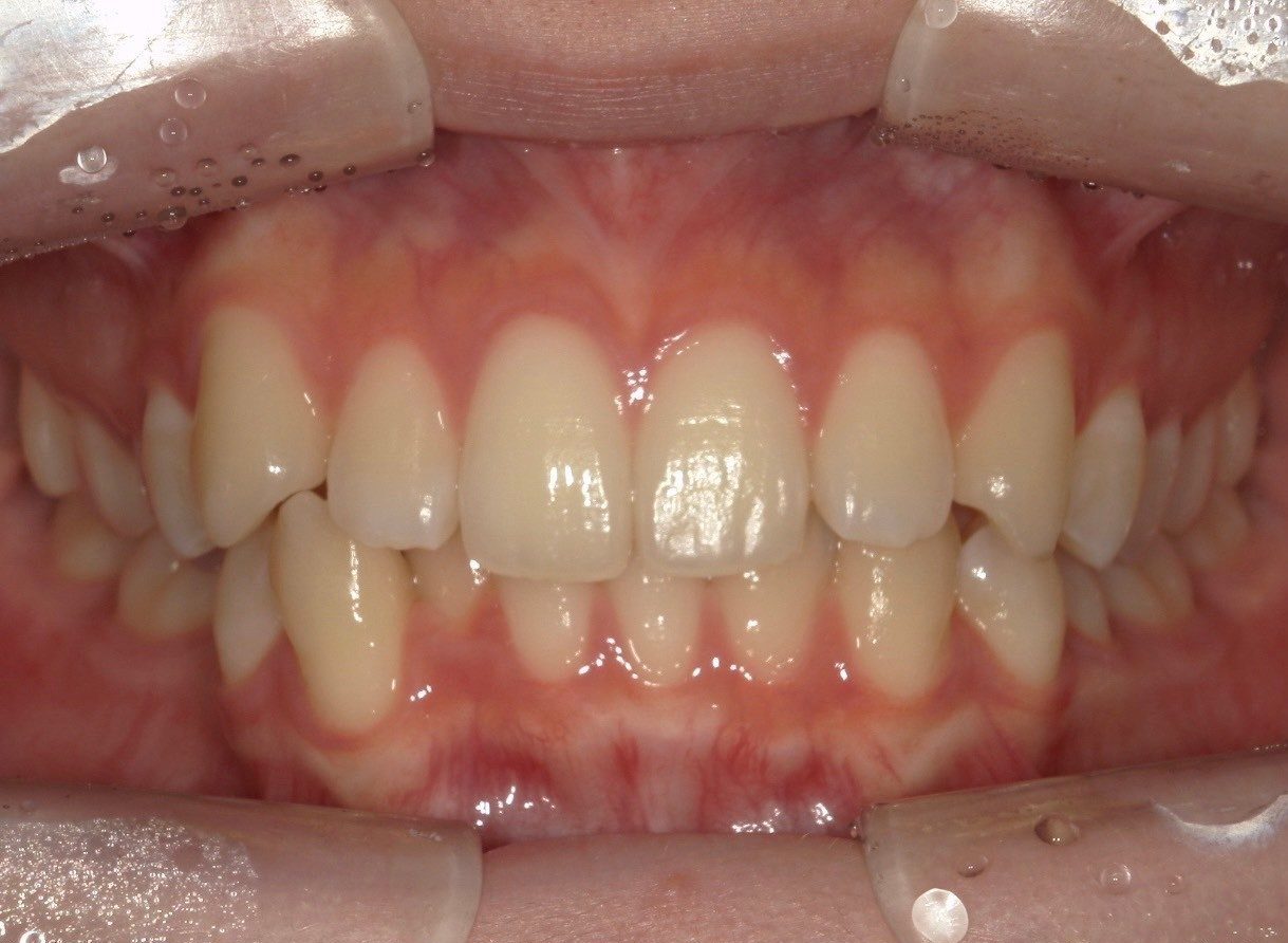
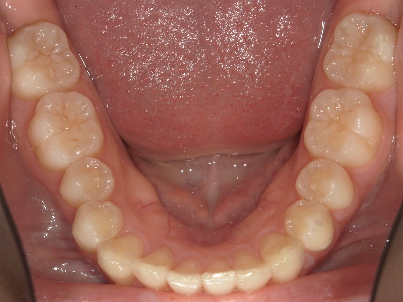
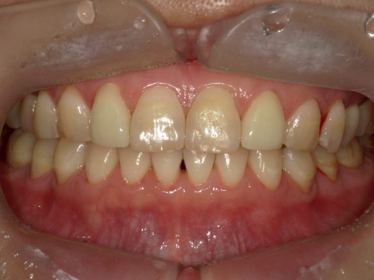
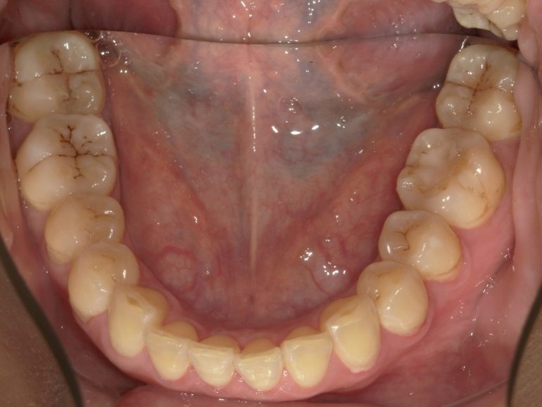
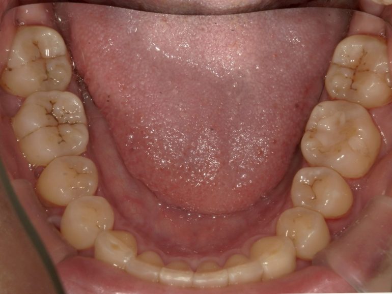
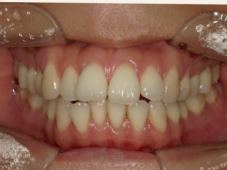
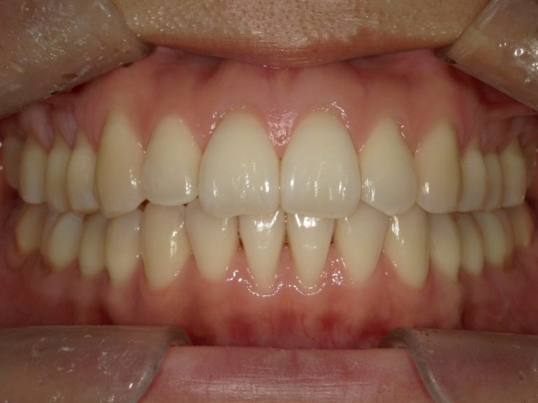
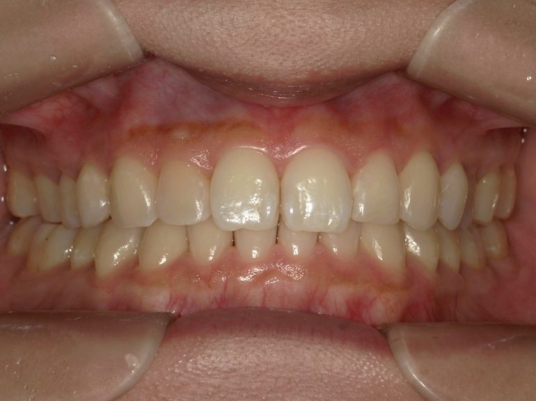
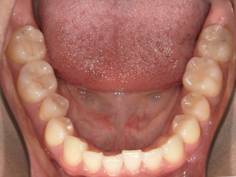
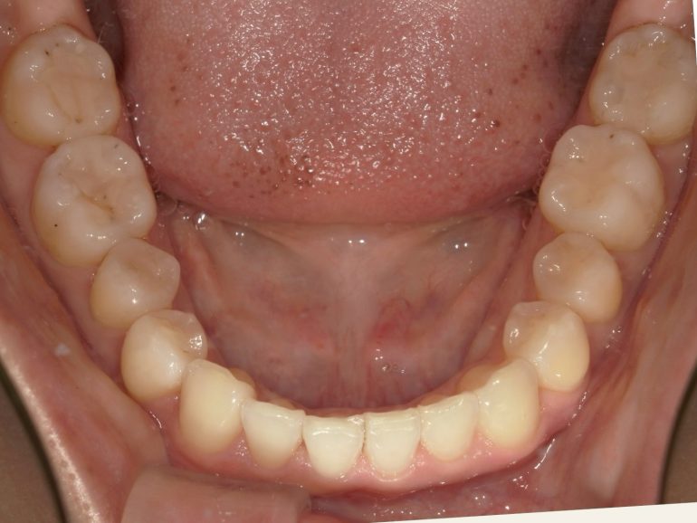
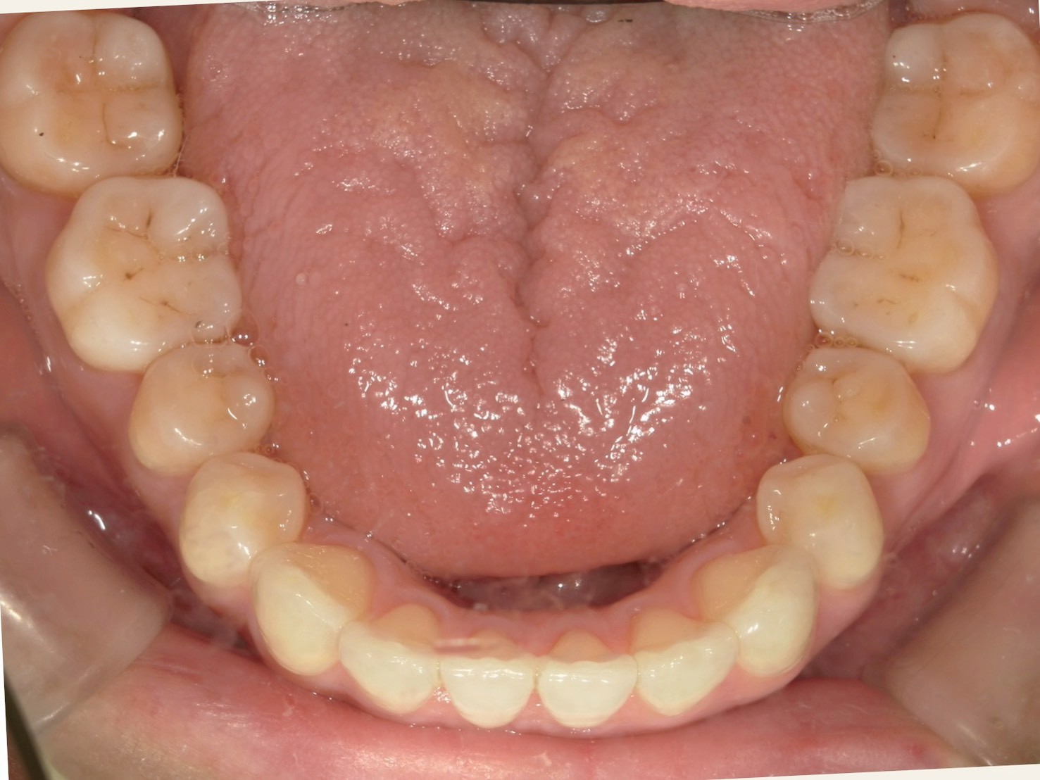
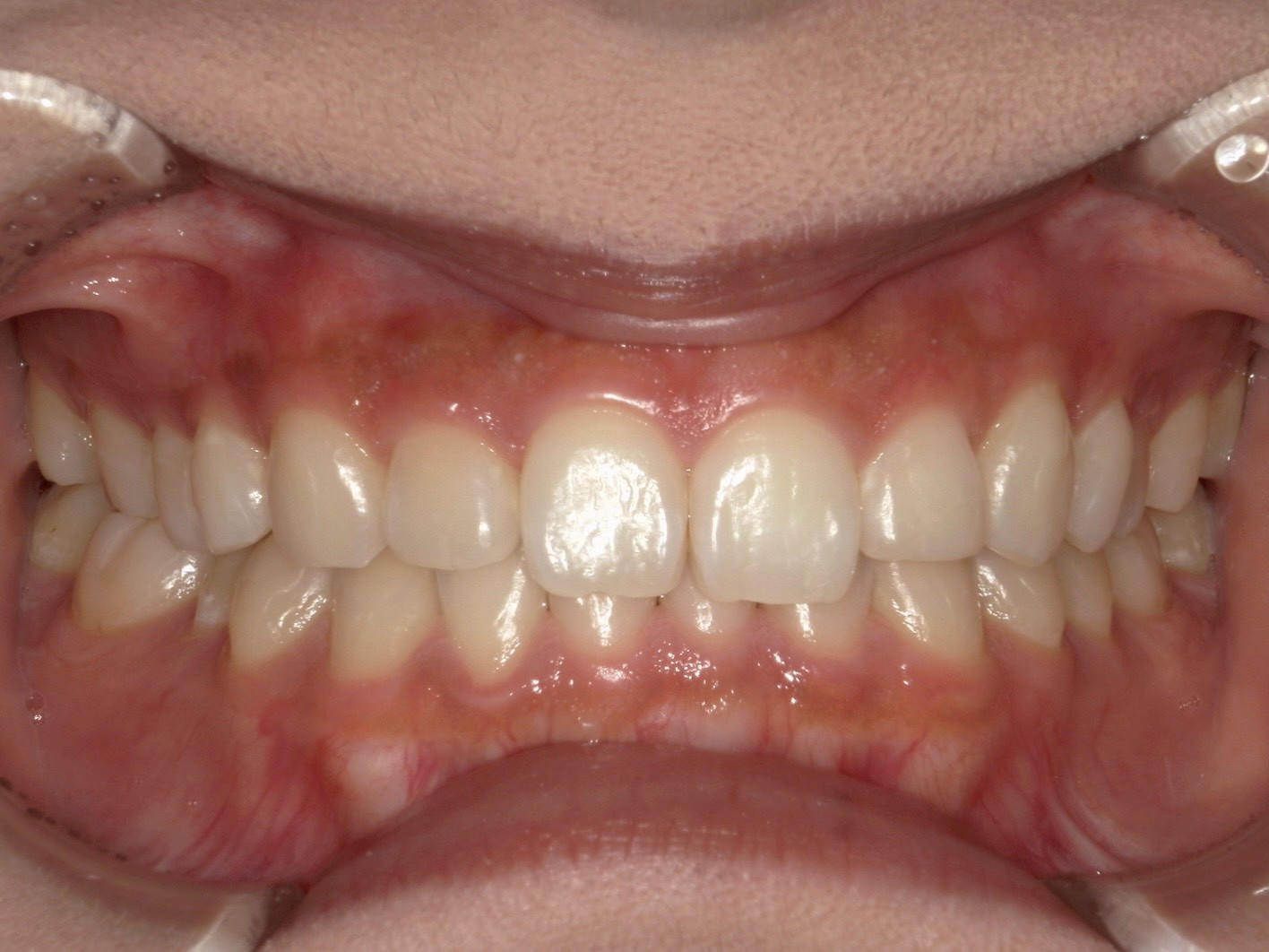
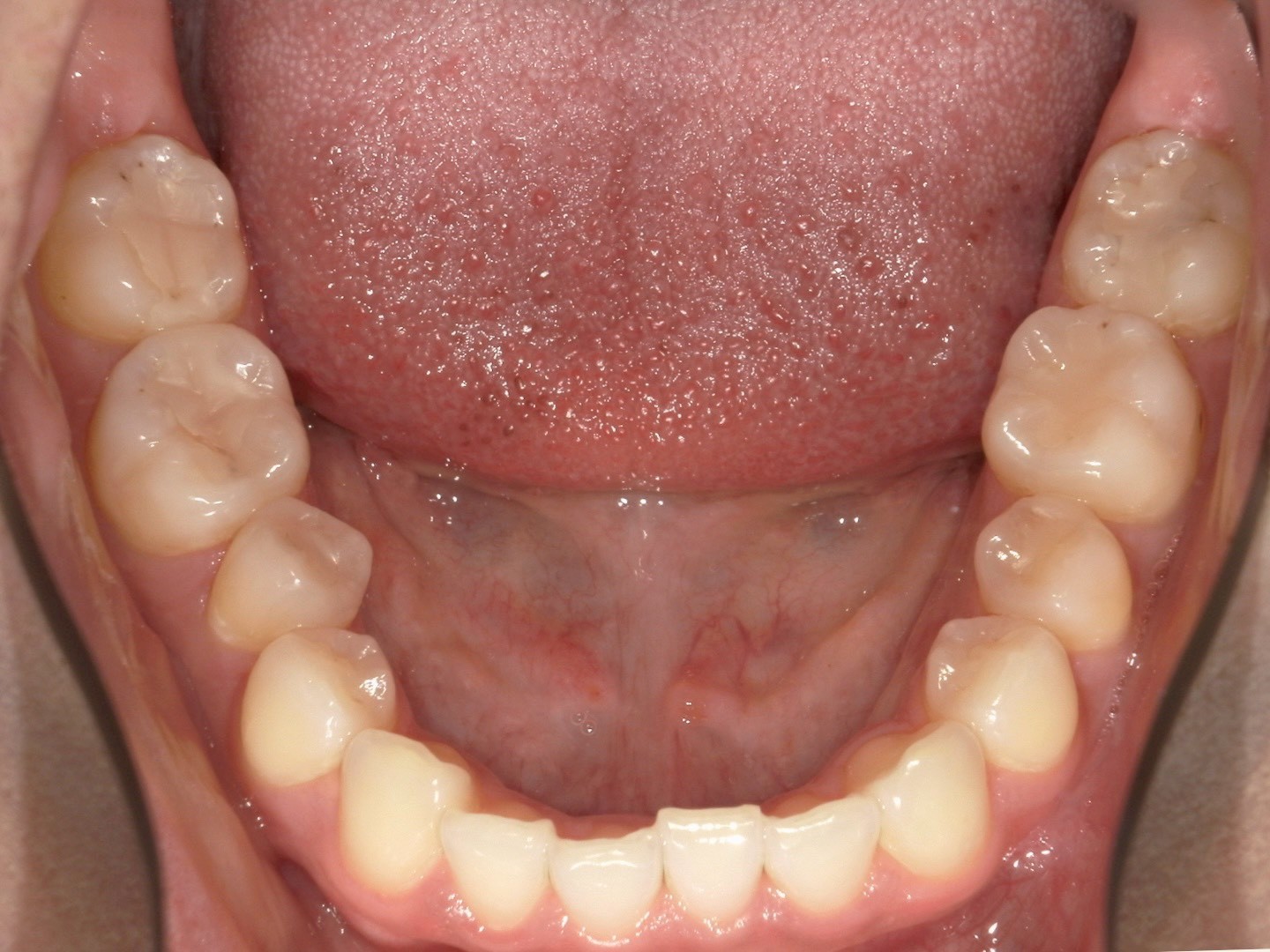
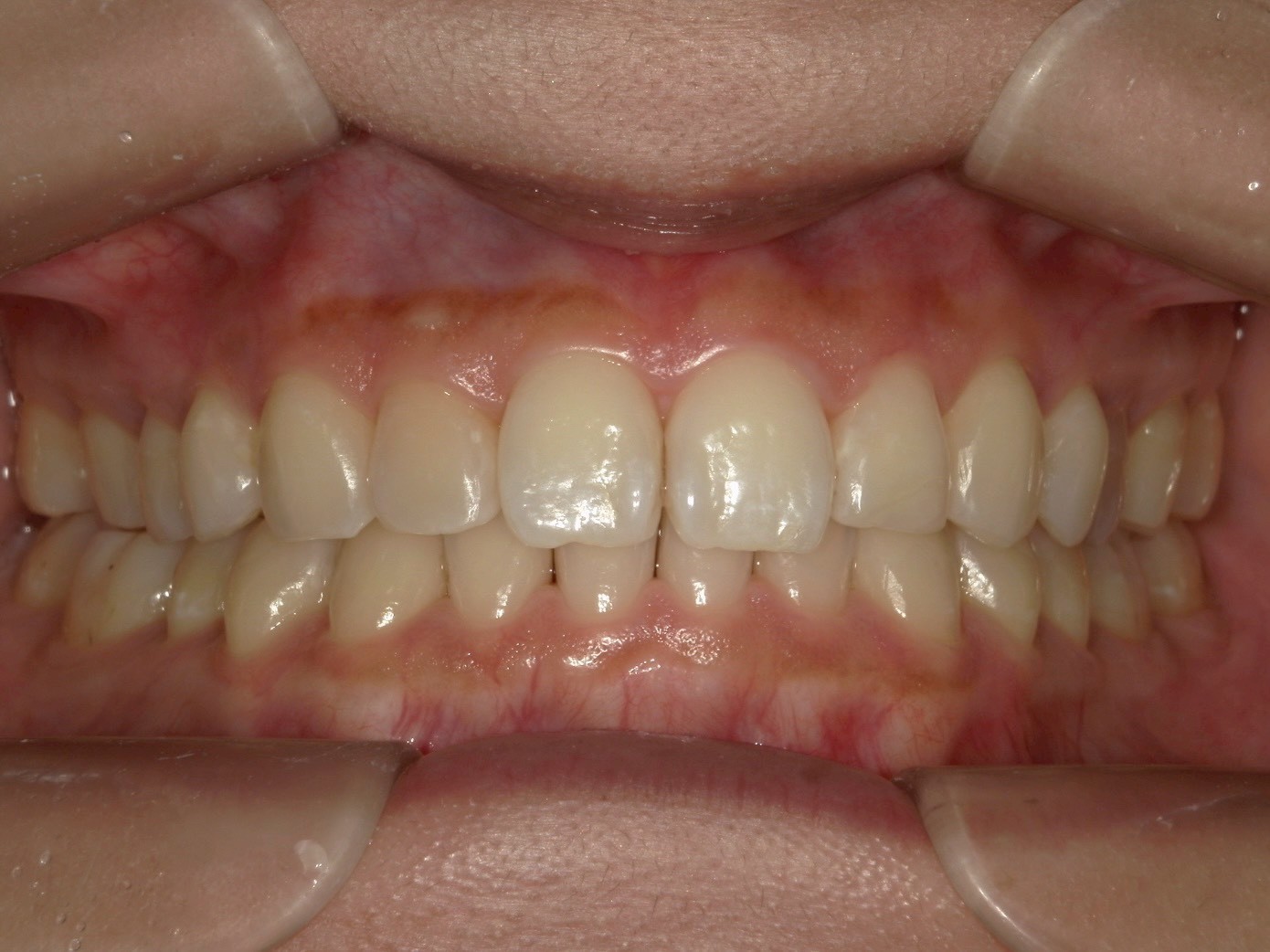
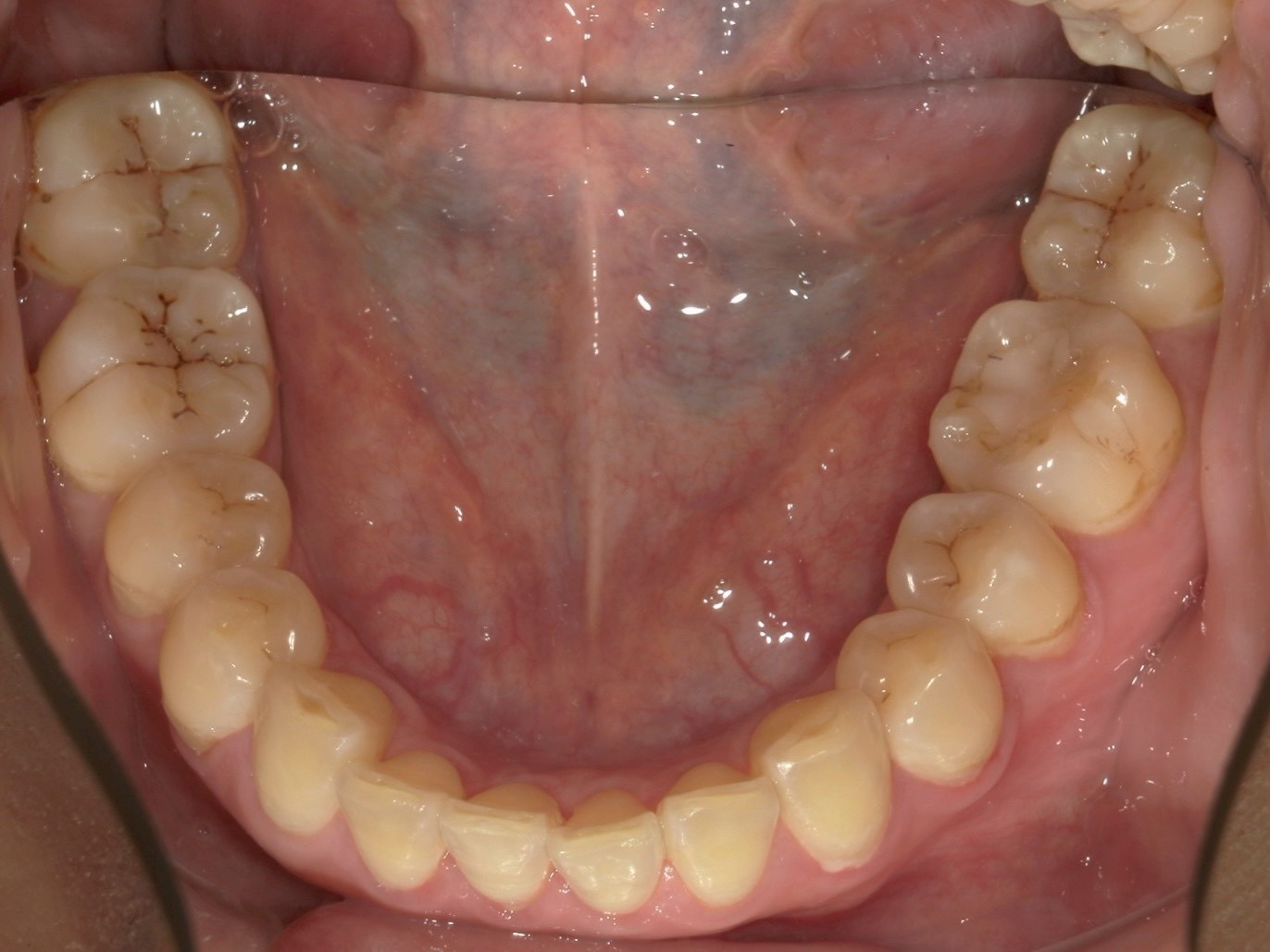
症例1
| 矯正前 | 矯正後 |
|---|---|
![]() |
![]() |
※画像をクリックすると拡大します。
| 診断 | 乱杭歯、八重歯、歯軋り |
|---|---|
| 内容 | 抜歯なし |
| 期間 | 約1年間 |
| 通院回数 | 10回 |
| 金額 | マウスピース矯正660,000円 |
| メリット | ・透明な装置のため、周囲に気づかれにくい |
| デメリット | ・推奨された装着時間(1日約20時間)を守らないと治療計画通りの歯並びにはならない |
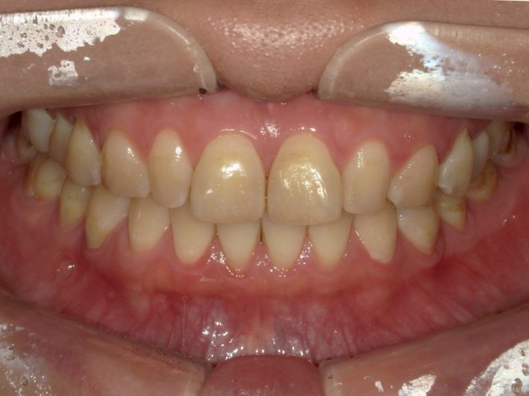
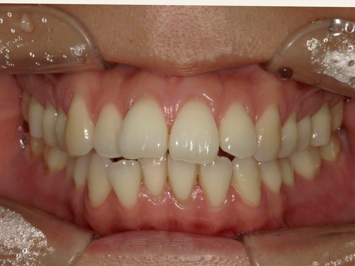
症例2
| 矯正前 | 矯正後 |
|---|---|
![]() |
![]() |
※画像をクリックすると拡大します。
| 診断 | 前歯乱杭歯、嚙み合わせ |
|---|---|
| 内容 | 抜歯なし、クロスバイト修正 |
| 期間 | 約9ヶ月 |
| 通院回数 | 10回 |
| 金額 | マウスピース矯正660,000円 |
| メリット | ・透明な装置のため、周囲に気づかれにくい |
| デメリット | ・推奨された装着時間(1日約20時間)を守らないと治療計画通りの歯並びにはならない |
症例3
| 矯正前 | 矯正後 |
|---|---|
![]() |
![]() |
※画像をクリックすると拡大します。
| 診断 | 上顎前歯乱杭歯、嚙み合わせ |
|---|---|
| 内容 | 抜歯なし |
| 期間 | 約8ヶ月 |
| 通院回数 | 7回 |
| 金額 | 429,000円 |
| メリット | ・透明な装置のため、周囲に気づかれにくい |
| デメリット | ・推奨された装着時間(1日約20時間)を守らないと治療計画通りの歯並びにはならない |
症例4
| 矯正前 | 矯正後 |
|---|---|
![]() |
![]() |
※画像をクリックすると拡大します。
| 診断 | 前歯の前突 |
|---|---|
| 内容 | 抜歯なし |
| 期間 | 約8ヶ月 |
| 通院回数 | 9回 |
| 金額 | マウスピース矯正660,000円 |
| メリット | ・透明な装置のため、周囲に気づかれにくい |
| デメリット | ・推奨された装着時間(1日約20時間)を守らないと治療計画通りの歯並びにはならない |
症例5
| 矯正前 | 矯正後 |
|---|---|
![]() |
![]() |
※画像をクリックすると拡大します。
| 診断 | 下顎乱杭歯、前歯の前突、嚙み合わせ |
|---|---|
| 内容 | 抜歯なし |
| 期間 | 約10ヶ月 |
| 通院回数 | 12回 |
| 金額 | マウスピース矯正539,000円 |
| メリット | ・透明な装置のため、周囲に気づかれにくい |
| デメリット | ・推奨された装着時間(1日約20時間)を守らないと治療計画通りの歯並びにはならない |
症例6
| 矯正前 | 矯正後 |
|---|---|
![]() |
![]() |
※画像をクリックすると拡大します。
| 診断 | 上顎前歯の前突、下顎乱杭歯 |
|---|---|
| 内容 | 抜歯なし |
| 期間 | 約7ヶ月 |
| 通院回数 | 9回 |
| 金額 | マウスピース矯正539,000円 |
| メリット | ・透明な装置のため、周囲に気づかれにくい |
| デメリット | ・推奨された装着時間(1日約20時間)を守らないと治療計画通りの歯並びにはならない |
症例7
| 矯正前 | 矯正後 |
|---|---|
![]() |
![]() |
※画像をクリックすると拡大します。
| 診断 | 前歯の前突、乱杭歯、八重歯、(他院の矯正で満足いかずに転院) |
|---|---|
| 内容 | 抜歯なし |
| 期間 | 約7ヶ月 |
| 通院回数 | 9回 |
| 金額 | マウスピース矯正480,000円 |
| メリット | ・透明な装置のため、周囲に気づかれにくい |
| デメリット | ・推奨された装着時間(1日約20時間)を守らないと治療計画通りの歯並びにはならない |
症例8
| 矯正前 | 矯正後 |
|---|---|
![]() |
![]() |
※画像をクリックすると拡大します。
| 診断 | 前歯の前突 |
|---|---|
| 内容 | 抜歯なし |
| 期間 | 約10ヶ月 |
| 通院回数 | 10回 |
| 金額 | マウスピース矯正660,000円 |
| メリット | ・透明な装置のため、周囲に気づかれにくい |
| デメリット | ・推奨された装着時間(1日約20時間)を守らないと治療計画通りの歯並びにはならない |
症例9
【正面】
| 矯正前 | 矯正後 |
|---|---|
![]() |
![]() |
【下顎】
| 矯正前 | 矯正後 |
|---|---|
![]() |
![]() |
【上顎】
| 矯正前 | 矯正後 |
|---|---|
![]() |
![]() |
※画像をクリックすると拡大します。
| 診断 | 乱杭歯、顎の痛み、嚙み合わせ |
|---|---|
| 内容 | 抜歯なし |
| 期間 | 約9ヶ月 |
| 通院回数 | 7回 |
| 金額 | マウスピース矯正660,000円 |
| メリット | ・透明な装置のため、周囲に気づかれにくい |
| デメリット | ・推奨された装着時間(1日約20時間)を守らないと治療計画通りの歯並びにはならない |
症例10
| 矯正前 | 矯正後 |
|---|---|
![]() |
![]() |
※画像をクリックすると拡大します。
| 診断 | 乱杭歯、食いしばり |
|---|---|
| 内容 | 抜歯なし |
| 期間 | 約1年9か月(途中、患者様都合でブランクあり) |
| 通院回数 | 13回 |
| 金額 | マウスピース矯正429,000円+99,000円=528,000円 |
| メリット | ・透明な装置のため、周囲に気づかれにくい |
| デメリット | ・推奨された装着時間(1日約20時間)を守らないと治療計画通りの歯並びにはならない |
症例11
| 矯正前 | 矯正後 |
|---|---|
![]() |
![]() |
![]() |
![]() |
※画像をクリックすると拡大します。
| 診断 | 乱杭歯、前歯噛み合わせ、全体の歯列 |
|---|---|
| 内容 | 抜歯なし |
| 期間 | 8か月 |
| 通院回数 | 8回 |
| 金額 | 539,000円 |
| メリット | ・透明な装置のため、周囲に気づかれにくい |
| デメリット | ・推奨された装着時間(1日約20時間)を守らないと治療計画通りの歯並びにはならない |
症例12
| 矯正前 | 矯正後 |
|---|---|
![]() |
![]() |
![]() |
![]() |
※画像をクリックすると拡大します。
| 主訴 | 上の前歯が後ろに下がっている、噛み合わせ |
|---|---|
| 内容 | 抜歯なし |
| 期間 | 9か月 |
| 通院回数 | 7回 |
| 金額 | 539,000円 |
| メリット | ・透明な装置のため、周囲に気づかれにくい |
| デメリット | ・推奨された装着時間(1日約20時間)を守らないと治療計画通りの歯並びにはならない |
症例13
| 矯正前 | 矯正後 |
|---|---|
![]() |
![]() |
![]() |
![]() |
※画像をクリックすると拡大します。
| 主訴 | 噛み合わせ直したい、前歯噛んでいない |
|---|---|
| 内容 | 抜歯なし |
| 期間 | 約1年6か月 |
| 通院回数 | 13回 |
| 金額 | 660,000円 |
| メリット | ・透明な装置のため、周囲に気づかれにくい |
| デメリット | ・推奨された装着時間(1日約20時間)を守らないと治療計画通りの歯並びにはならない |
症例14
| 矯正前 | 矯正後 |
|---|---|
![]() |
![]() |
![]() |
![]() |
※画像をクリックすると拡大します。
| 主訴 | 歯に隙間がある、前突、歯肉が口角上がったときに見える |
|---|---|
| 内容 | 抜歯なし |
| 期間 | 約1年3か月 |
| 通院回数 | 10回 |
| 金額 | 660,000円 |
| メリット | ・透明な装置のため、周囲に気づかれにくい |
| デメリット | ・推奨された装着時間(1日約20時間)を守らないと治療計画通りの歯並びにはならない |
症例15
| 矯正前 | 矯正後 |
|---|---|
![]() |
![]() |
![]() |
![]() |
※画像をクリックすると拡大します。
| 診断 | 前突、八重歯 |
|---|---|
| 内容 | 抜歯なし |
| 期間 | 2年10ヶ月 |
| 通院回数 | 24回 |
| 金額 | 660,000円 |
| メリット | ・透明な装置のため、周囲に気づかれにくい |
| デメリット | ・推奨された装着時間(1日約20時間)を守らないと治療計画通りの歯並びにはならない |
症例16
| 矯正前 | 矯正後 |
|---|---|
![]() |
![]() |
![]() |
![]() |
※画像をクリックすると拡大します。
| 診断 | 前突、噛み締め、歯の色 |
|---|---|
| 内容 | 抜歯なし |
| 期間 | 9か月 |
| 通院回数 | 7回 |
| 金額 | 539,000円 |
| メリット | ・透明な装置のため、周囲に気づかれにくい |
| デメリット | ・推奨された装着時間(1日約20時間)を守らないと治療計画通りの歯並びにはならない |
症例17
| 矯正前 | 矯正後 |
|---|---|
![]() |
![]() |
![]() |
![]() |
※画像をクリックすると拡大します。
| 診断 | 前歯の前突、八重歯、歯の色が気になる、歯が痛い、噛み合わせが気になる |
|---|---|
| 内容 | インビザライン、抜歯なし |
| 期間 | 2年 |
| 通院回数 | 15回 |
| 金額 | 660,000円 |
| メリット | ・透明な装置のため、周囲に気づかれにくい |
| デメリット | ・推奨された装着時間(1日約20時間)を守らないと治療計画通りの歯並びにはならない |
症例18
| 矯正前 | 矯正後 |
|---|---|
![]() |
![]() |
![]() |
![]() |
※画像をクリックすると拡大します。
| 診断 | 乱杭歯、歯の色が気になる、親知らずで歯が痛い |
|---|---|
| 内容 | インビザライン、抜歯なし |
| 期間 | 2年2ヶ月 |
| 通院回数 | 14回 |
| 金額 | 660,000円 |
| メリット | ・透明な装置のため、周囲に気づかれにくい |
| デメリット | ・推奨された装着時間(1日約20時間)を守らないと治療計画通りの歯並びにはならない |
症例19
| 矯正前 | 矯正後 |
|---|---|
![]() |
![]() |
![]() |
![]() |
※画像をクリックすると拡大します。
| 診断 | 下顎前歯が年齢を重ねる度に捻転してきた事による噛み合わせの悪化を治したい |
|---|---|
| 内容 | インビザライン、抜歯なし |
| 期間 | 1年2ヶ月 |
| 通院回数 | 9回 |
| 金額 | 660,000円 |
| メリット | ・透明な装置のため、周囲に気づかれにくい |
| デメリット | ・推奨された装着時間(1日約20時間)を守らないと治療計画通りの歯並びにはならない |
症例20
| 矯正前 | 矯正後 |
|---|---|
![]() |
![]() |
![]() |
![]() |
※画像をクリックすると拡大します。
| 診断 | 上下前歯の重なり、乱杭歯が気になる、虫歯になりやすい |
|---|---|
| 内容 | インビザライン、抜歯なし |
| 期間 | 1年 |
| 通院回数 | 8回 |
| 金額 | 660,000円 |
| メリット | ・透明な装置のため、周囲に気づかれにくい |
| デメリット | ・推奨された装着時間(1日約20時間)を守らないと治療計画通りの歯並びにはならない |
症例21
| 矯正前 | 矯正後 |
|---|---|
![]() |
![]() |
![]() |
![]() |
※画像をクリックすると拡大します。
| 診断 | 歯の隙間が気になる |
|---|---|
| 内容 | インビザライン、抜歯なし |
| 期間 | 1年3ヶ月 |
| 通院回数 | 12回 |
| 金額 | 660,000円 |
| メリット | ・透明な装置のため、周囲に気づかれにくい |
| デメリット | ・推奨された装着時間(1日約20時間)を守らないと治療計画通りの歯並びにはならない |
症例22
| 矯正前 | 矯正後 |
|---|---|
![]() |
![]() |
![]() |
![]() |
※画像をクリックすると拡大します。
| 診断 | 乱杭歯、噛み合わせが気になる |
|---|---|
| 内容 | インビザライン、抜歯なし |
| 期間 | 2年6ヶ月 |
| 通院回数 | 18回 |
| 金額 | 660,000円 |
| メリット | ・透明な装置のため、周囲に気づかれにくい |
| デメリット | ・推奨された装着時間(1日約20時間)を守らないと治療計画通りの歯並びにはならない |
症例23
| 矯正前 | 矯正後 |
|---|---|
![]() |
![]() |
![]() |
![]() |
※画像をクリックすると拡大します。
| 診断 | 前歯の前突、乱杭歯が気になる |
|---|---|
| 内容 | インビザライン、抜歯なし |
| 期間 | 約1年 |
| 通院回数 | 9回 |
| 金額 | 660,000円 |
| メリット | ・透明な装置のため、周囲に気づかれにくい |
| デメリット | ・推奨された装着時間(1日約20時間)を守らないと治療計画通りの歯並びにはならない |
症例24
| 矯正前 | 矯正後 |
|---|---|
![]() |
![]() |
![]() |
![]() |
※画像をクリックすると拡大します。
| 診断 | 乱杭歯、歯の色が気になる |
|---|---|
| 内容 | インビザラインライト、抜歯なし |
| 期間 | 10ヶ月 |
| 通院回数 | 6回 |
| 金額 | 429,000円 |
| メリット | ・透明な装置のため、周囲に気づかれにくい |
| デメリット | ・推奨された装着時間(1日約20時間)を守らないと治療計画通りの歯並びにはならない |
症例25
| 矯正前 | 矯正後 |
|---|---|
![]() |
![]() |
![]() |
![]() |
※画像をクリックすると拡大します。
| 診断 | 前歯の前突、噛み合わせ、噛み締めがあるので気になる |
|---|---|
| 内容 | インビザラインモデレート、抜歯なし |
| 期間 | 8か月 |
| 通院回数 | 6回 |
| 金額 | 539,000円 |
| メリット | ・透明な装置のため、周囲に気づかれにくい |
| デメリット | ・推奨された装着時間(1日約20時間)を守らないと治療計画通りの歯並びにはならない |
症例26
| 矯正前 | 矯正後 |
|---|---|
![]() |
![]() |
![]() |
![]() |
※画像をクリックすると拡大します。
| 診断 | 前歯の突出、乱杭歯が気になる |
|---|---|
| 内容 | インビザライン、抜歯なし |
| 期間 | 9か月 |
| 通院回数 | 7回 |
| 金額 | 660,000円 |
| メリット | ・透明な装置のため、周囲に気づかれにくい |
| デメリット | ・推奨された装着時間(1日約20時間)を守らないと治療計画通りの歯並びにはならない |
症例27
| 矯正前 | 矯正後 |
|---|---|
![]() |
![]() |
![]() |
![]() |
※画像をクリックすると拡大します。
| 診断 | 乱杭歯、隙間が気になる |
|---|---|
| 内容 | インビザライン、抜歯あり |
| 期間 | 1年2ヶ月 |
| 通院回数 | 10回 |
| 金額 | 440,000円 |
| メリット | ・透明な装置のため、周囲に気づかれにくい |
| デメリット | ・推奨された装着時間(1日約20時間)を守らないと治療計画通りの歯並びにはならない |
症例28
| 矯正前 | 矯正後 |
|---|---|
![]() |
![]() |
![]() |
![]() |
※画像をクリックすると拡大します。
| 診断 | 乱杭歯 |
|---|---|
| 内容 | インビザラインモデレート、抜歯なし |
| 期間 | 約1年 |
| 通院回数 | 7回 |
| 金額 | 539,000円 |
| メリット | ・透明な装置のため、周囲に気づかれにくい |
| デメリット | ・推奨された装着時間(1日約20時間)を守らないと治療計画通りの歯並びにはならない |
症例29
| 矯正前 | 矯正後 |
|---|---|
![]() |
![]() |
![]() |
![]() |
※画像をクリックすると拡大します。
| 診断 | 前歯が出ている、八重歯、乱杭歯が気になる |
|---|---|
| 内容 | インビザライン、抜歯あり |
| 期間 | 約一年 |
| 通院回数 | 10回 |
| 金額 | 660,000円 |
| メリット | ・透明な装置のため、周囲に気づかれにくい |
| デメリット | ・推奨された装着時間(1日約20時間)を守らないと治療計画通りの歯並びにはならない |
症例30
| 矯正前 | 矯正後 |
|---|---|
![]() |
![]() |
![]() |
![]() |
※画像をクリックすると拡大します。
| 来院時の主訴 | 前歯が出ている、八重歯、乱杭歯が気になる |
|---|---|
| 治療方針 | インビザラインライト、抜歯なし |
| 期間 | 10か月 |
| 通院回数 | 6回 |
| 金額 | 429,000円 |
| メリット | ・透明な装置のため、周囲に気づかれにくい |
| デメリット | ・推奨された装着時間(1日約20時間)を守らないと治療計画通りの歯並びにはならない |
症例31
| 矯正前 | 矯正後 |
|---|---|
![]() |
![]() |
![]() |
![]() |
※画像をクリックすると拡大します。
| 診断 | |
|---|---|
| 内容 | インビザラインモデレート、抜歯なし |
| 期間 | 10か月 |
| 通院回数 | 9回 |
| 金額 | 539,000円 |
| メリット | ・透明な装置のため、周囲に気づかれにくい |
| デメリット | ・推奨された装着時間(1日約20時間)を守らないと治療計画通りの歯並びにはならない |
症例32
| 矯正前 | 矯正後 |
|---|---|
![]() |
![]() |
![]() |
![]() |
※画像をクリックすると拡大します。
| 来院時の主訴 | 噛み合わせが気になる、綺麗なアーチ型に並ばせたい、正中の位置を合わせたい、切端ラインを揃えたい |
|---|---|
| 治療方針 | インビザラインライト、抜歯なし |
| 期間 | 8か月 |
| 通院回数 | 7回 |
| 金額 | 429,000円 |
| メリット | ・透明な装置のため、周囲に気づかれにくい |
| デメリット | ・推奨された装着時間(1日約20時間)を守らないと治療計画通りの歯並びにはならない |


























































































































